SUSTO
Coronel passa por cirurgia no coração para evitar infarto
Neste momento, senador já recebeu alta hospitalar

O senador Angelo Coronel (PSD-BA), que recentemente anunciou rompimento com o grupo governista na Bahia, informou na manhã desta segunda-feira, 9, que precisou se afastar das atividades do mandato para realizar um procedimento médico em um hospital de São Paulo, após a detecção de uma obstrução em uma das artérias do coração.

Em publicação nas redes sociais, o parlamentar divulgou um vídeo ao lado da médica responsável e explicou que foi colocado um stent cardíaco para resolver o problema identificado durante exames de rotina.
“Fiquei ausente nos últimos dias porque, durante o ‘check-up pré-campanha’, foi detectada uma obstrução em uma artéria do coração e precisei colocar um stent cardíaco para resolver o problema. Agora está tudo bem”, afirmou Coronel.
Leia Também:
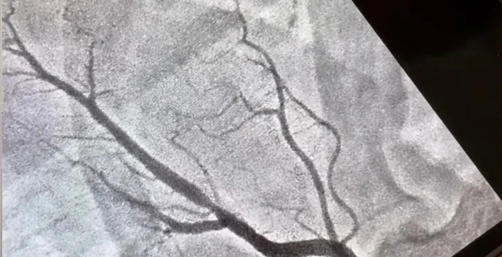
Procedimento evita infarto
O stent é um pequeno tubo flexível de malha metálica, semelhante a uma mola, inserido em uma artéria obstruída para mantê-la aberta. De acordo com a médica Ludhmila Abrahão, que acompanhou o senador, o procedimento ajuda a evitar um infarto causado pela obstrução.
“O senador realizou exames de rotina e, durante a avaliação, foi detectada uma obstrução em uma das artérias do coração. Foi necessário colocar um stent, que funciona como uma espécie de mola, corrigindo o problema de forma preventiva e evitando o infarto”, explicou a médica.
Após o procedimento, o senador recebeu alta hospitalar.
Confira o vídeo:
Siga o A TARDE no Google Notícias e receba os principais destaques do dia.
Participe também do nosso canal no WhatsApp.
Compartilhe essa notícia com seus amigos
Siga nossas redes




